• Krotoszyn
  • wtorek, 16 październik 2018 10:13
  •   2 362

Lekarska dostała upomnienie

Lekarska dostała upomnienie
Lekarska dostała upomnienie © archiwum

Dyrekcja szpitala bije się w pierś. Przyznaje, że zachowanie lekarki , która odesłała rodziców z 6-miesięcznym dzieckiem do lecznicy do Ostrowa Wlkp. – nie zapewniając transportu – było niewłaściwe. Szef do spraw medycznych – Mieczysław Pełko – karze lekarkę pisemnym upomnieniem.

Masz zdjęia lub film do tego artykułu?   Wyślij je do nas!

Typography
  • Small
Udostępnij to

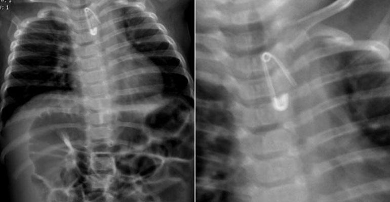
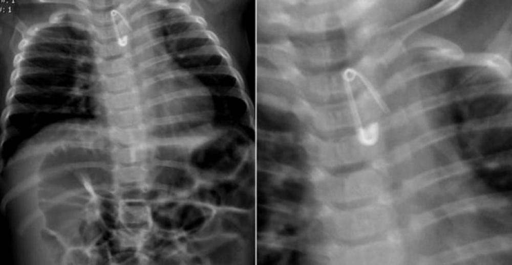
Pomocy w krotoszyńskim szpitalu szukali rodzice 6-miesięcznego dziecka. Malec połknął bowiem 2-centymetrową agrafkę. Rozwarta zapinka  ostrzem skierowanym ku dołowi – uwięzła w przełyku chłopczyka – co wskazywało zdjęcie rentgenowskie.

Lekarka pełniąca dyżur na SOR-ze poleciała rodzicom udać się do szpitala w Ostrowie Wielkopolskim – oddalonej od naszego miasta 30 km. I choć w tym czasie na stanie były dwie karetki, kazała im jechać własnym samochodem. Ci oczywiście natychmiast ruszyli w drogę. W międzyczasie malec zaczął się krztusić. W Biadkach zauważyli policyjny patrol. Nie zwlekając, poprosili mundurowych o pomoc  w dotarciu do celu. I tak pod eskortą radiowozów z Krotoszyna i Ostrowa na sygnałach udało się dotrzeć na miejsce. Ostatecznie dziecko już karetką zostało przetransportowane do Wrocławia, gdzie podczas zabiegu laparoskopem lekarze wyjęli agrafkę wczepioną w struktury przełyku maluszka.

Trudno się jednak dziwić, że rodzice malucha lubi oburzeni postępowaniem lekarki. Na wieść o przebiegu zdarzenia dyrekcja placówki wszczęła kontrole. I choć początkowo próbowano bagatelizować sprawę – ostatecznie dyrektor ds. medycznych – Mieczysław Pełko – ukarał lekarkę pisemnym upomnieniem. – Ubolewamy, że lekarka pełniąca dyżurze na SOR-ze, kierując się dobrym stanem zdrowia dziecka w chwili jego pobytu na oddziale, nie podjęła obowiązku zabezpieczenia dowozu pacjenta transportem medycznym do szpitala w Ostrowie Wielkopolskim. Była to jej samodzielna decyzja. (…) Dyrekcja szpitala ocenia postępowania lekarki w zakresie przekazania pacjenta (…) jako niewłaściwe – napisał w oświadczeniu szpitalny rzecznik, Sławomir Pałasz.

Lekarka pozostaje na stanowisku, jednak jej pracy bacznie przyjrzy się dyrekcja lecznicy. Chce też zintensyfikować poszukiwania kolejnych lekarzy, którzy wesprą dotychczasową ekipę na SOR-ze. – Podjęte działania naprawcze dotyczą zarówno przeprowadzonej diagnostyki w SOR, jak i zastosowanej formy transportu do oddziału specjalistycznego – podkreśla rzecznik. W jaki sposób dyrekcja chce to czynić, nie wiadomo, bo szpital nie komentuje więcej sprawy. – Nie udzielamy więcej informacji – nabiera wody w usta rzecznik.

Tymczasem wyjaśnień od szpitala domaga się rzecznik praw pacjenta (RPP). Chce sprawdzić, czy w SPZOZ w Krotoszynie nie doszło do naruszenia prawa pacjenta do świadczeń zdrowotnych. – Postępowanie wyjaśniające może zakończyć się zarówno niestwierdzeniem naruszenia prawa pacjenta, jak i stwierdzeniem. Wówczas RPP może skierować wystąpienie do podmiotu leczniczego, w którym podmiotu leczniczego, w którym sformułuje wnioski lub zalecenia co do właściwego załatwiania sprawy np. może to być wyciągnięcie konsekwencji służbowych w stosunku do pracownika winnego zaniedbania. W przypadku, gdy podmiot leczniczy nie zaakceptuje naszego stanowiska, mogę skierować wystąpienie do organu założycielskiego o wyciagnięcie konsekwencji w stosunku do zarządzającego placówką – wyjaśnia Agnieszka Chmielewska, dyrektor Departamentu Dialogu Społecznego i Komunikacji w Warszawie.

Co dokładnie wydarzyło się na oddziale w Krotoszynie, sprawdza też prokuratura. Postępowanie, które rozpoczęli śledczy w naszym mieście, przejęła ostrowska prokuratura. – Zachodzi konieczność procesowej weryfikacji czynności związanych z prawidłowością zastosowanych procedur medycznych, a także przesłuchania świadków i ewentualne uzyskanie opinii biegłych. Decyzją zastępca prokuratura okręgowego postępowanie będzie kontynuowane przez wydział śledczy prokuratury okręgowej w Ostrowie wielkopolskim – mówi Maciej Meler, rzecznik ostrowskiej prokuratury okręgowej.

Publikacja:
Sebastian Kalak
Podoba Ci się?
Rate this item
(0 głosów)