Ponad 4 tysiące wyjazdów do pacjentów
W 2020 r. służba zdrowia stanęła na pierwszej linii frontu walki z pandemią. Krotoszyńscy ratownicy również mieli sporo pracy.
Additional Info
- Nadtytuł Powiat krotoszyński
- opublikowano w Na sygnale
W powiecie mamy cztery izolatoria
W trzech spośród czterech utworzonych na terenie naszego powiatu izolatoriów przygotowano miejsca dla pracowników służby zdrowia.
Additional Info
- Nadtytuł Powiat krotoszyński
- opublikowano w Z regionu
NFZ obwinia szpital
Wielkopolski oddział Narodowego Funduszu Zdrowia złożył do Prokuratury Rejonowej w Krotoszynie zawiadomienie dotyczące ewentualnych nieprawidłowości w funkcjonowaniu szpitala w Krotoszynie w czasie epidemii koronawirusa.
Additional Info
- Nadtytuł Krotoszyn
- opublikowano w Na sygnale
Zbierają na karetkę dla Kobylina[wideo]
Krotoszyński Samodzielny Publiczny Zakład Opieki Zdrowotnej zwrócił się do okolicznych przedsiębiorców z prośbą, aby dołożyli się do zakupu ambulansu dla kobylińskiej podstacji pogotowia ratunkowego.
Additional Info
- Nadtytuł Kobylin
- opublikowano w Z regionu
Nowy sprzęt trafił do stacji dializ
We wtorek, 3 września w krotoszyńskiej stacji dializ zademonstrowano nowy sprzęt do hemodializ.
Additional Info
- Nadtytuł Krotoszyn
- opublikowano w Z regionu
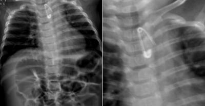
Lekarka z SOR zrezygnowała z pracy
Lekarska ze Szpitalnego Oddziału Ratunkowego w Krotoszynie, która miesiąc temu odesłała do Ostrowa Wielkopolskiego 6-miesięczne dziecko z agrafką w przełyku – zrezygnowała z pracy.
Additional Info
- Nadtytuł Krotoszyn
- opublikowano w Z regionu
Lekarska dostała upomnienie
Dyrekcja szpitala bije się w pierś. Przyznaje, że zachowanie lekarki , która odesłała rodziców z 6-miesięcznym dzieckiem do lecznicy do Ostrowa Wlkp. – nie zapewniając transportu – było niewłaściwe. Szef do spraw medycznych – Mieczysław Pełko – karze lekarkę pisemnym upomnieniem.
Additional Info
- Nadtytuł Krotoszyn
- opublikowano w Na sygnale
Francuzi w szpitalu
Zakład Opiekuńczo-Leczniczy i Zakład Opieki Paliatywnej w Krotoszynie gościły grupę francuskiej młodzieży z zaprzyjaźnionym z Krotoszynem Fontenay-le-Comte.
Additional Info
- Nadtytuł Krotoszyn
- opublikowano w Z regionu
Warto skorzystać z badań
Tylko do końca roku pacjentki urodzone w 1949 r. będą mogły po raz ostatni wykonać badanie mammograficzne w ramach profilaktycznego programy wczesnego wykrywania raka piersi. Badanie jest bezpłatne i nie wymaga skierowania od lekarza.
Additional Info
- Nadtytuł Krotoszyn
- opublikowano w Z regionu
Nowoczesny sprzęt trafił na SOR
Sprzęt medyczny o wartości 1,3 mln zł trafił na Szpitalny Oddział Ratunkowy w krotoszyńskim szpitalu.
Additional Info
- Nadtytuł Krotoszyn
- opublikowano w Z regionu
- start
- Poprzedni artykuł
- 1
- 2
- 3
- Następny artykuł
- koniec
- Strona 1 z 3